
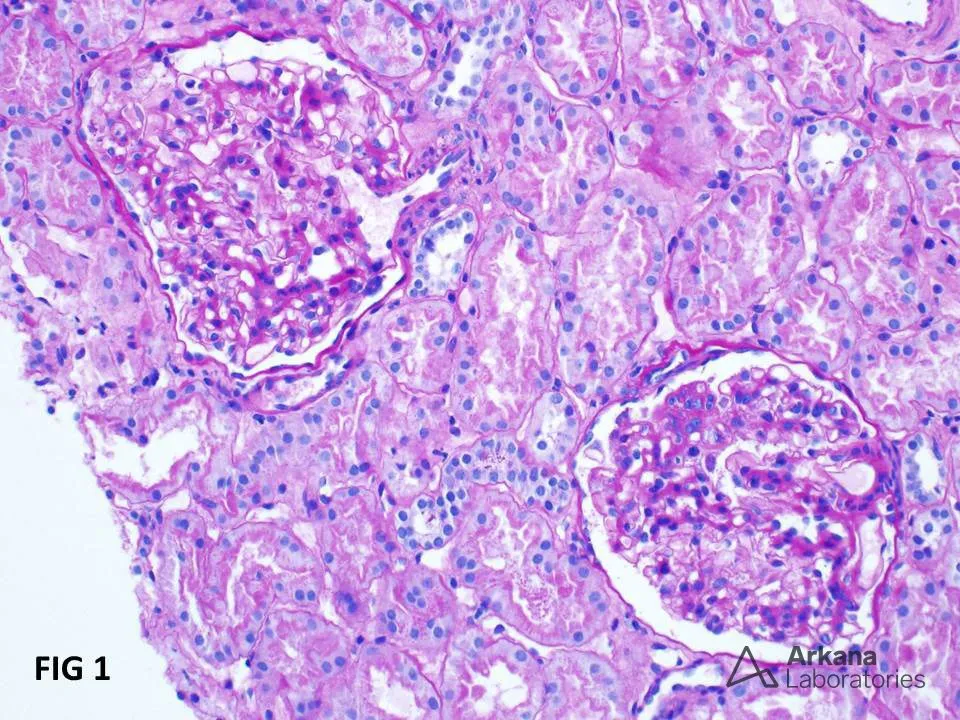
Importância de tratar a Nefropatia por IgA cedo – principal aprendizado do KDIGO 2025
a NIgA, esperar proteinúria “alta demais” é perder tempo. A KDIGO 2025 destaca: ≥ 0,5 g/d já indica risco e exige ação precoce — biópsia, metas claras e plano terapêutico integrado para mudar a história da doença.
Valkercyo Feitosa
4 meses atrás


Finerenona e Empagliflozina: efeito na albuminúria é consistente mesmo em pacientes já em uso de GLP-1? O que o CONFIDENCE nos mostra















