**Caso clínico publicado no Kidney 360 \[[link](https://journals.lww.com/kidney360/fulltext/2025/10000/a_15_year_old_girl_with_an_unusual_cause_of.28.aspx)]**
Uma adolescente de 15 anos apresentou um quadro três episódios de hematúria macroscópica recorrente ao longo de 8 meses, sempre desencadeados por infecções virais ou bacterianas. Durante o quadro atual, evoluiu com infecção por E. coli (Shiga-toxin), com dor abdominal, diarreia e artralgias nas mãos. A função renal mostrou elevação discreta da creatinina (1,31 mg/dl), com proteinúria baixa (0,2 g/g) e sedimento urinário francamente glomerular, incluindo >50 hemácias/HPF, hemácias dismórficas e cilindro hemático.
Realizado investigação imunológica inicial, porém com achados inespecíficos: FAN positivo em baixo título (1:80), complementos C3 e C4 normais, anti-DNA negativo, ANCA negativo, anti-estreptolisina O normal, hepatites negativas. O teste genético (Natera Renasight) não evidenciou variantes patogênicas.
Pela clínica, a hipótese inicial de Nefropatia por IgA nefropatia ou GN pós-infecciosa parecia plausível. Foi procedido bióspia renal.
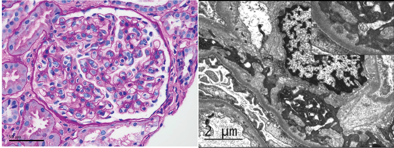
A amostra renal mostrou hipercelularidade endocapilar difusa, composta **predominantemente por monócitos**, com raras duplicações de membrana basal e ausência de trombos ou crescentes. A imunofluorescência realizada em tecido de parafina tratado com pronase foram negativas para todas imunoglobulinas e complemento. A microscopia eletrônica revelou apenas raros depósitos mesangiais e subendoteliais, sem subestrutura organizada (Figura 1).
Figura 1. Glomérulo com hipercelularidade endocapilar difusa por mononucleares, sem depósitos evidentes à IF. Na ME, observam-se raros depósitos subendoteliais e mesangiais sem subestrutura organizada, com fenestrações endoteliais reduzidas. Padrão compatível com cryoGN com escassez de depósitos.
Esse padrão — intensa hipercelularidade com escassez de depósitos e IF negativa — é altamente sugestivo de glomerulopatia por crioglobulinas, especialmente em fases de “clearance acelerado” de complexos imunes mediado por monócitos. O teste de crioglobulina confirmou se tratar de uma crioglobulina tipo 3.
A paciente foi tratada com corticoide e rituximabe semanal (4 doses), seguido de manutenção semestral, com preservação da função renal após 16 meses.
***
##### **Pergunta do caso**
Qual achado foi fundamental para diferenciar crioglobulinemia de outras glomerulonefrites comuns na adolescência?
A) FAN positivo em baixo título
B) Episódios recorrentes de hematúria pós-infecção
C) Inflamação endocapilar desproporcional à quantidade de depósitos imunes
D) Complementos normais
***
##### **Raciocínio clínico **
A apresentação inicial com hematúria pós-infecção poderia sugerir Nefropatia por IgA. Contudo, a IgA típica apresenta:
• depósitos mesangiais proeminentes
• imunofluorescência positiva
• mesangialite predominante
Nada disso foi observado aqui.
A GN pós-infecciosa também seria considerada, porém:
• complementos estavam normais
• não havia depósitos subepiteliais (“humps”)
• a IF foi completamente negativa
A chave está na discordância histológica: **hipercelularidade endocapilar acentuada com depósitos escassos**, o que é clássico das formas de GN por crioglobulinas, especialmente em fases com intensa depuração de imunocomplexos por monócitos. Essa dissociação é considerada um marcador morfológico importante.
Assim, a alternativa correta é C.
##### **Correlação com evidência e fisiopatologia**
A crioglobulinemia tipo 2 e 3 é rara na pediatria. Entretanto, quando causa glomerulonefrite, o padrão histológico descrito em séries previamente publicadas é semelhante ao deste caso:
• endocapilaridade exuberante, predominantemente por monócitos
• depósitos escassos, frequentemente subendoteliais
• imunofluorescência negativa ou minimamente positiva
• ausência de subestrutura organizada em ME
Essa dissociação ocorre porque as crioglobulinas podem ser rapidamente destruídas ou removidas, especialmente em condições inflamatórias. Do ponto de vista clínico, GN por crio frequentemente se associa a purpura, artralgia e fraqueza, mas o envolvimento renal pode ser isolado em crianças. O diagnóstico exige demonstração sérica da crioglobulina, mas resultados falso-negativos são frequentes, sendo a repetição recomendada quando a morfologia é sugestiva.
O tratamento com rituximabe, amplamente validado na literatura adulta, tem se mostrado eficaz também em crianças com doença renal, gerando remissões duradouras.
##### **Mensagem prática final**
Em adolescentes com hematúria glomerular recorrente, especialmente quando a biópsia revela inflamação endocapilar intensa com depósitos escassos e IF negativa, GN por crio deve ser considerada — mesmo sendo rara na faixa etária. Esse padrão morfológico é altamente informativo e deve direcionar a investigação para crioglobulinemia.