IRA + Icterícia: Um Caso que Exige Investigação Detalhada

IRA na cirrose, nem sempre é síndrome hepatorrenal!

Desafio diagnóstico: IRA em paciente em tratamento para Encefalite Herpética
.webp)
Particularidades da IRA e diálise no paciente cirrótico

IRA por Inalação de Fumaça de Solda Metálica

Produtos de alisamento capilar e IRA

IRA por Síndrome de Lise Tumoral Espontânea
## **Resumo do caso clínico**
> 📄 Referência: Scurt FG, Herzog C, Hammoud B. Acute Kidney Injury in a Patient with Painless Jaundice. Kidney 360, 2025. 👉 **[link](https://journals.lww.com/kidney360/fulltext/2025/09000/acute_kidney_injury_in_a_patient_with_painless.27.aspx)**
Homem de 60 anos apresenta icterícia indolor com bilirrubina total de 32,2 mg/dL. A tomografia mostra **obstrução maligna do ducto colédoco**, tratada inicialmente com drenagem endoscópica e, depois, com drenagem trans-hepática.
Apesar da desobstrução, a função renal continuou piorando, evoluindo para creatinina 7,3 mg/dL e anúria.
O sedimento urinário revelou cilindro biliares, cristais de leucina e células tubulares — achados que direcionam o raciocínio para lesão tubular por pigmentos.
Foi realizado biópsia confirmando existência de necrose tubular aguda com cilindros biliares, compatível com Nefropatia Colêmica.

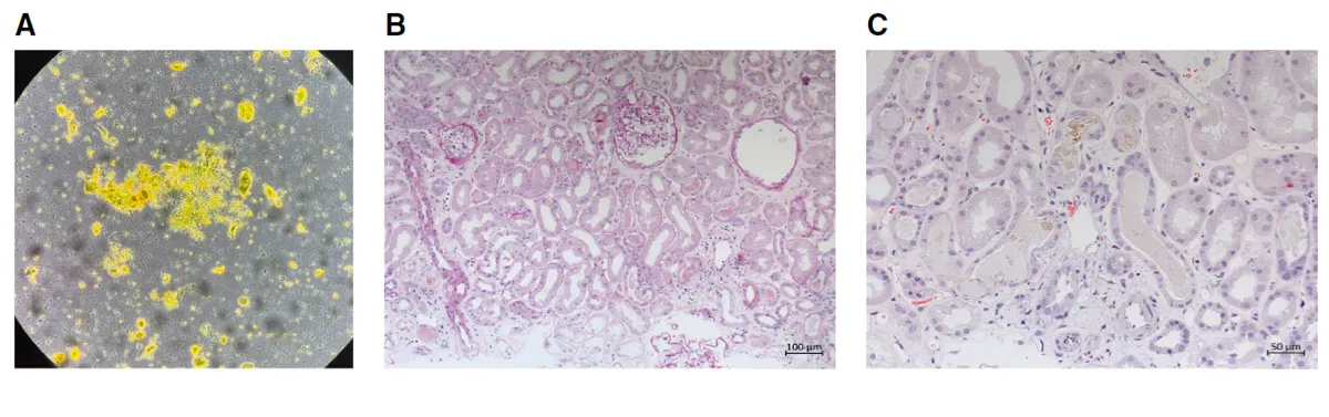
**Figura 1.** Achados urinários e histológicos da biópsia renal. (A) O sedimento urinário mostra células epiteliais tubulares, cilindros granulares corados por bile e cristais de leucina. (B) Os túbulos renais apresentam células epiteliais achatadas e perda da borda em escova (NTA). (C) Os túbulos exibem cilindros amarelo-esverdeados corados por bile (H&E).
O tratamento combinou hemodiálise com adsorção extracorpórea (CytoSorb), levando a queda da bilirrubina para 9,9 mg/dL e recuperação progressiva da função renal TFGe 50 mL/min/1,73m² um mês após a alta).
***
## **1) Por que pensar em nefropatia colêmica e como afastar outras etiologias?**
A piora da função renal mesmo após drenagem biliar sugere que apenas a obstrução biliar não explica a IRA. Em icterícia tão intensa (32 mg/dL de bilirrubina), surgem quatro hipóteses: pré-renal, séptica, síndrome hepatorrenal (SHR) e lesão tubular por bile.
### **A diferenciação segue três passos:**
1**) Avaliar a resposta pós-drenagem**
Em causas pré-renais/sepse resultantes da obstrução da via biliar, esperaríamos uma melhora progressiva com a resolução da obstrução. No caso clínico, houve progressão para anúria, indicando lesão tubular já instalada.
2**) Examinar o sedimento urinário**
Decisivo para o diagnóstico.
SHR e pré-renal → sedimento geralmente é limpo.
Séptica → cilindros granulosos, não pigmentares.
Neste caso:
• cilindros de bile,
• cristais de leucina,
• células tubulares.
Esse padrão é específico de lesão tubular por bile, afastando as demais etiologias.
3**) Verificar se a bilirrubina está em faixa tóxica**
Bilirrubina > 12–17 mg/dL favorece deposição pigmentária tubular.
O paciente apresentava nível de 32 mg/dL — valor amplamente compatível com toxicidade tubular.
➡️ Conclusão: a combinação de anúria persistente pós-drenagem + sedimento pigmentado + bilirrubina extremamente elevada torna a nefropatia colêmica a hipótese diagnóstica mais provável.
***
## **2) A drenagem biliar explica a piora da função renal?**
Não. A piora progressiva mesmo após desobstrução indica que o rim sofreu dano estrutural independente do fluxo biliar.
Essa evolução é típica de lesão tubular pigmentada, não de causas pré-renais.
***
## **3) O sedimento urinário ajuda a diferenciar hepatorrenal de lesão tubular?**
Sim — e foi o ponto-chave.
SHR apresenta sedimento “limpo”.
Aqui, o sedimento era abundantemente pigmentado, reforçando a presença de lesão tubular por bile.
***
## **4) A biópsia era realmente necessária?**
Sim, para confirmação definitiva e para guiar o prognóstico.
A biópsia mostrou:
• necrose tubular aguda difusa,
• cilindros biliares verde-amarelados ocupando túbulos,
…selando o diagnóstico de Nefropatia Colêmica.
***
## **5) Por que bilirrubinas tão elevadas causam IRA?**
Mecanismos fisiopatológicos principais:
* • citotoxicidade direta dos ácidos biliares;
* • formação de cilintosdebile com obstrução tubular;
* • redução do fluxo intrarrenal.
O dano é severo, mas reversível quando a carga de ácidos biliares cai rapidamente.
***
## **6) Quando indicar terapia renal substitutiva? Qual é o papel do CytoSorb nesse contexto?**
A indicação de diálise é igual a outras etiologias de IRA grave. O CytoSorb remove moléculas hidrofóbicas — incluindo ácidos biliares. Seu uso visou reduzir a bilirrubina de 32→10 mg/dL, aliviar toxicidade tubular e acelerar a recuperação renal.
***
## 7) O que explica a boa recuperação renal após um mês?
A nefropatia colêmica é predominantemente tubular e altamente reversível quando a colestase é resolvida e a carga de ácidos biliares é rapidamente reduzida.
***
## Conclusão
O diagnóstico de nefropatia colêmica depende de raciocínio sequencial:
1. Falha de resposta à drenagem,
2. Sedimento pigmentado,
3. Biópsia confirmatória,
4. Manejo agressivo da colestase.
## Dica do NefroUpdates
Em um paciente com IRA com bilirrubina > 17 mg/dL, procure cilindros biliares. Eles mudam o diagnóstico e o desfecho.
🚨 Risco se ignorado:
Tratar como HRS sem investigar pode atrasar a reversão de uma AKI tratável.