
Proteinúria (sem albuminúria) e piora de função renal

IRA, fadiga e sedimento urinário ativo

Proteinúria refratária em paciente com Nefrite Lúpica

Uma causa incomum de hematúria glomerular intermitente!

Importância de tratar a Nefropatia por IgA cedo – principal aprendizado do KDIGO 2025

Hematúria e Lesão Renal Aguda em Paciente com Câncer Renal: Quando Pensar em Trombose da Veia Renal?
**Referência:** Yau TT. CJASN, 2025
###### **Caso clínico:**
Mulher de 26 anos é avaliada em 2007 por hematúria e proteinúria. Desde a adolescência, apresentava hematúria microscópica persistente, mas sem proteinúria significativa.
Aos 23 anos, engravidou e teve parto sem complicações. Seis meses antes da avaliação atual, passou a apresentar artralgias difusas e fadiga.
Exames iniciais mostraram FAN 1:160, C3 = 57 mg/dL e C4 = 30 mg/dL. Anti-DNA foi negativo. Com hipótese de lúpus, iniciou plaquenil e ibuprofeno.
Creatinina 1,1 mg/dL; urina com 2+ de proteína e 2+ de sangue; relação proteína/creatinina
urinária 0,8 g/g.
**Havia história familiar marcante:**
* Pai com biópsia renal interpretada como glomerulonefrite pós-infecciosa (GNPI), evoluindo para DRET aos 40 anos, falecendo após múltiplos transplantes.
* Avô paterno também com DRET. Irmão mais novo com proteinúria não investigada.
Com esses achados, foi realizada biópsia renal.
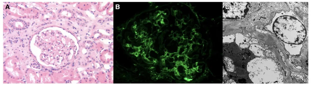
Figura 1. Imagens da biópsia renal. (A) Microscopia óptica mostrando hipercelularidade mesangial difusa, sem crescents, necrose ou cicatrizes segmentares. Discreta fibrose intersticial e atrofia tubular (HE). (B) Imunofluorescência evidenciando forte marcação de C3 no mesângio e nas alças capilares. (C) Microscopia eletrônica demonstrando depósitos mesangiais e depósitos subepiteliais maiores. Observa-se apagamento difuso dos pedicelos e afinamento das membrana basal glomerular (250 nm de espessura).
###### Pergunta 1
Diante da história e dos achados da biópsia, qual o diagnóstico mais provável?
a) Nefrite lúpica classe II
b) Glomerulonefrite pós-infecciosa (GNPI)
c) Nefropatia membranosa
d) Glomerulopatia por C3 (GNC#)
e) Síndrome de Alport
Resposta correta: d) Glomerulopatia por C3 (GNC3)
A presença de proteinúria moderada em paciente jovem, com imunofluorescência mostrando deposição dominante de C3 e depósitos densos à microscopia eletrônica, aponta para GNC3.
Discussão:
* Nefrite lúpica classe II: deposição mesangial isolada e padrão “full house” na IF (IgG, IgA, IgM, C3 e C1q), o que não ocorreu.
* GNPI: subepiteliais semelhantes, mas normalmente há infiltrado neutrofílico e IF positiva para IgG e C3. História familiar torna essa hipótese improvável.
* Nefropatia membranosa: também apresenta depósitos subepiteliais, mas com IF IgG- positiva.
* Síndrome de Alport: pode cursar com membrana basal fina, mas não com depósitos densos de C3.
Seis anos depois, já em outro serviço, a paciente reaparece com creatinina 1,6 mg/dL e proteinúria 1,3 g/g. Revisão da biópsia confirmou o diagnóstico de GNC3, corrigindo o equívoco inicial…
###### Pergunta 2
Qual seria o próximo passo mais adequado na investigação diagnóstica?
a) Anticorpo anti-fosfolipase A2 receptor
b) Estudos genéticos do complemento
c) Título de antiestreptolisina O
d) Espectrometria de massa dos depósitos glomerulares
e) Imunofluorescência para cadeias alfa do colágeno IV
Resposta correta: b) Estudos genéticos do complemento
Esses testes são essenciais para identificar disfunções da via alternativa do complemento, que orientam tanto o prognóstico quanto o tratamento.

###### Discussão
A GNC3 é resultado de ativação não controlada da via alternativa do complemento. Mutação de proteínas reguladoras (C3, fator B, fator H) ou presença de autoanticorpos como o fator nefrítico do C3 levam a deposição glomerular de C3.
Microscopicamente, pode variar de expansão mesangial até padrão membranoproliferativo,
confundindo-se com GNPI ou GNM.
Estudos recentes mostram que muitos casos antes rotulados como “GNPI atípica” são, na
verdade, C3GN.
Caso (continuação)
O sequenciamento genético revelou uma mutação no éxon 19 do gene C3, presente também no filho e no irmão da paciente. Após vacinação adequada, foi iniciado lisinopril e eculizumabe, com melhora da creatinina (0,9 mg/dL) e estabilização da proteinúria.
Mais tarde, foi incluída em estudo com iptacopan, um inibidor seletivo da via alternativa do
complemento.
###### Mensagem final do NefroAtual
A GNC3 é uma doença de descoberta recente, muitas vezes confundida com GN pós-infecciosa. Reconhecer o padrão de deposição de C3 e solicitar investigação genética são passos cruciais especialmente agora, com terapias direcionadas ao complemento disponíveis.
E você, já pediu estudo genético do complemento diante de uma glomerulonefrite “pós-
infecciosa” persistente?